나는 사랑니가 없다? 숨어있어 모를뿐!
페이지 정보
작성자 관리자 작성일16-08-30 09:35 댓글0건본문
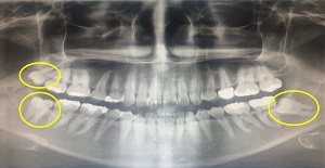
- 매복사랑니, 뿌리가 신경관과 가까운 경우 많아 주의 필요, 잘못 발치할 경우 감각 이상 증상 나타날 수도 - 개인에 따라 치아 발달 상태 다르기 때문에 정기검진 통해 꾸준히 관리해야 치아 건강 지킬 수 있어 직장인 박씨(33)는 스케일링을 받으러 치과를 찾았다가 오른쪽 아래에 사랑니가 있다는 사실을 알게 됐다. 가끔씩 잇몸 안쪽에 불편함을 느꼈지만 사랑니가 나오면서 생긴 통증이라 생각지도 못했던 것. X-ray 촬영 결과 위쪽에도 사랑니가 있었고, 왼쪽에는 매복된 사랑니까지 존재한다는 사실을 알게 돼 깜짝 놀랐다. 잇몸으로 덥혀 있었기 때문에 정작 본인은 사랑니를 갖고 있다고 생각지도 못했던 것이다. 사랑니는 대게 상하좌우에 각각 1개씩 나는데 4개 모두 정상적으로 나는 사람은 극히 드물다. 보통 성인의 경우 28개 치아 개수에 비해 턱이 작기 때문에 사랑니가 온전히 나오지 못하고 누워서 나거나 삐뚤게 되는 경우가 대부분. 특히 잇몸 안에 묻혀 보이지 않는 매복사랑니의 경우 육안으로 잘 보이지 않아 사랑니가 없다고 생각하다 통증이 생겨 치과를 방문해 알게 된다. 아프지도 않은데 꼭 뽑아야 할까 의문을 갖는 사람들도 많다. 사랑니라고 해서 무조건 발치가 필요한 것은 아니다. 다른 치아처럼 반듯하게 자라 청결상태를 잘 유지한다면 어금니처럼 저작기능을 할 수 있다. 하지만 삐뚤게 났거나, 잇몸 속에 숨어 있는 경우는 칫솔질이 제대로 되지 않아 관리가 힘들어 충치나, 잇몸 염증, 구취 등을 유발하게 된다. 이를 방치하면 사랑니 바로 앞 치아까지 충치가 생기거나 염증으로 인해 잇몸과 얼굴이 붓고 일상생활에 불편을 줄 수 있어 발치가 필요하다. 특히 매복사랑니는 주변 치아 옆 뿌리를 손상시키거나 잇몸을 아프게 할 수 있어 예방 발치를 하는 것이 좋다. 일산사과나무치과병원 구강외과에서 매복사랑니를 발치한 내원 환자 수를 조사한 결과를 보면 2013년 1,624명에서 2014년 1,710명, 2015년 1,793명으로 꾸준히 증가하고 있는 추세로 나타났다. 사랑니에 통증이 생겨 발치하는 경우 외에도 최근 스케일링 보험화로 치과 정기 검진을 받는 사람들이 늘어나면서 매복된 사랑니를 존재를 알게 돼 예방 발치하는 사람이 증가하고 있는 것으로 분석된다. 일산 사과나무치과병원 구강외과 김영연 병원장은 “사랑니 존재 여부는 X-ray 검사로 간단히 확인할 수 있는데 옆으로 누워난 사랑니의 경우 통증 없이 앞어금니까지 충치가 생기게 하는 경우가 많으므로 미리 검진을 받고 아프지 않아도 예방적으로 발치하는 것이 좋다”며 “특히 임산부의 경우 아무래도 임신 중에는 사랑니를 발치하기 어렵기 때문에 미리 검진을 통해 사랑니 상태를 확인할 수 있어야 한다”고 말했다. 사랑니가 난 상태에 따라 발치 방법은 다르다. 매복사랑니는 뿌리가 신경관과 가까운 경우가 많은데 이 신경관은 잇몸, 볼, 입술, 턱 주변의 감각을 담당하고 있어 손상 시 해당 부위에 감각 이상 증상이 나타날 수 있기 때문에 특히 주의해야 한다. 발치할 때 잇몸을 절개해 치아를 잘라서 몇 조각으로 나눠 발치 하는데, 매복사랑니 발치도 전문적인 수술에 해당하므로 CT 촬영을 통해 사랑니와 아래턱 신경 거리 및 위치를 정확히 확인하고 수술해야 한다. 김원장은 “아프지 않으면 치과를 찾지 않는 경우가 많은데 개인에 따라 치아 발달 상태는 다르기 때문에 20대에 사랑니가 나지 않았다고 해서 사랑니가 없다고 섣부르게 자가 진단하지 말고 정기 검진을 통해 정확한 상태를 확인해야 한다”며 “사랑니 발치 후 이틀 정도는 심한 운동이나 사우나 등은 삼가고, 구강에 압력을 줄 수 있는 빨대 사용이나 침 뱉기는 자제해야 한다. 발치 후 2~3일까지는 냉찜질을 해주는 것도 부기와 통증을 줄이는데 도움이 된다”고 덧붙였다. 【도움말 = 사과나무치과병원 구강외과 김영연 병원장】 [김현지 기자] munandpil@nate.com | |||||||||

