무서운 잇몸병, 건강 적신호? > 만성질환 뉴스

본문 바로가기

만성질환 뉴스

 

만성질환 뉴스

만성질환 뉴스

무서운 잇몸병, 건강 적신호?

페이지 정보

작성자 관리자 작성일16-08-09 14:04 댓글0건

본문

세균이 일으킨 잇몸 염증, 혈관 타고 퍼져 만병 원인될 수도
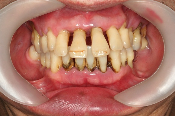
%20치주염%20환자%20사례.jpg

- 입 속 세균과 암 연관성 꾸준히 발표돼, 췌장암 환자 타액에서 진지발리스 세균 59% 높게 나타나
- 미생물 염증 반응 물질이 혈액을 타고 전신을 돌다가 췌장에 병인성으로 작용하는 가능성 있어
- 칫솔질 할 때 피가 난다면 염증이 있다는 뜻, 치주 포켓은 입속 세균 서식지로 꼼꼼히 닦아 줘야

우리나라 사람들이 감기 다음으로 가장 많이 걸리는 잇몸병. 별일 아니라고 생각해 간과했다간 암이나치매에 걸릴 위험까지 커질 수 있다는 다수의 연구 결과가 발표되고 있다. 진지발리스(P. gingivalis)가 식도암, 류머티즘 관절염, 심근경색 등 전신 질환에 미치는 영향에 대해서는 꾸준히 경고돼 왔다. 특히 췌장암은 미국만 해도 5년 생존율이 10%가 채 되지 않을 정도. 췌장암을 조기 발견하기 위해 다양한 연구들이 진행 중인데 구강 내 세균도 그중 연구가 많이 되어온 분야다.

미국의사협회지(JAMA, Journal of am. Medi. Asso.)에도 췌장암과 구강 내 세균에 대한 연구 결과가 발표됐다. (Jacob 2016) 존스홉킨스 대학교수 클라인(Alison Klein) 박사는 351명의 췌장암 환자의 타액에서 DNA를 추출하고, 비슷한 조건(나이, 성, 사회적 지위 등)의 사람 371명 것과 비교 실험한 결과 치주 질환을 일으키는 대표적인 세균인 진지 발리스(P. gingivalis)가 있으면 췌장암에 걸릴 위험이 59% 더 높아진 것으로 나타났으며 또 다른 치주 질환 세균인 A.actinomycetemcomitans 역시 췌장암에 걸릴 위험을 최소 50% 이상 높이는 것으로 나타났다.

이러한 결과를 뒷받침하는 원인으로 ‘염증 반응’이 가장 유력시 되고 있다. 잇몸 염증이 있는 사람은 피가 자주 나게 되는데 손상된 부위에 침착된 세균이 혈액을 타고 들어가게 되면 미생물에 의해 몸의 방어 작용으로 염증 반응이 일어나게 되고, 이런 염증 반응 물질이 혈액을 타고 전신을 돌다가 췌장에도 병인성으로 작용한다는 것.

내 입속의 미생물의 저자 김혜성 사과나무치과병원 대표원장은 “이들은 전에도 대규모 코허트 연구를 통해 치주 세균인 진지 발리스에 대한 혈중 항체가 높으면 췌장암 위험이 2배가 높아지고, 치주 질환을 앓아본 사람은 췌장암 위험이 64% 더 올라간다고 밝힌 바 있는데 이 연구도 구강 내 박테리아와 암과 연관 있다는 것을 다시 한번 확인시켜주는 결과다”라며 “치주 질환은 단순한 구강 문제만이 아니라 인체 내 다른 부분에도 영향을 미치고 있는데 많은 사람들이 잇몸병을 간과하고 있지만 치주 질환이 다양한 전신질환에 관여하는 만큼 적극적인 치료가 요구되고 있다”고 말했다.

치주 질환의 직접적인 원인은 구강 내 세균. 세균이 있다고 해서 나쁜 것이 아니라 우리 몸의 면역력을 증가시켜 세균보다 상대적 우위를 유지시킬 수 있도록 해야 한다. 특히 입안은 따뜻하고 습해 세균이 살기 좋은 환경을 갖고 있는데 여기에 음식물 찌꺼기(치태)까지 더해진다면 입속 세균은 폭발적인 증가를 일으킬 수 있어 평소 양치질을 철저히 하는 습관을 길러야 한다.

김원장은 “칫솔질을 할 때 피가 난다면 그 부위에 염증이 있다는 뜻이기 때문에 멈추지 말고 더욱 신경 써서 닦아야 하고 치아 표면만 문지르는 칫솔질 습관을 바꿀 필요가 있다. 잇몸 속 세균 주머니인 치주포켓은 미생물 대표적인 서식지인 만큼 스케일링을 포함해 잇몸 질환 치료와 관리를 위한 정기검진은 필수다”라고 덧붙였다.

[김현지 기자] munandpil@nate.com

 

 


주소 : 우06676 서울 서초구 방배동 424-28 방배롯데캐슬아르떼 단지 상가A동 206호
| TEL : 02)588-1461~2 | FAX : 02)588-1460
Homepage : www.acdm.or.kr | E-mail : mail@acdm.or.kr
Copyrightⓒ 2015 The Korea Association Of Chronic Disease Management. All rights reserved
  •  
  •